COSMETIC DENTISTRY
Invisalign Clear Aligners
It’s time to get that smile you can feel proud of. Invisalign is comfortable, invisible and is proven to deliver results.
 
   
  
                         
                      
How does Invisalign work?
Invisalign aligners are removable and virtually invisible, so you can eat and drink normally, clean your teeth easily, and no-one will know you’re having treatment. By using Invisalign you can transform your smile without it affecting your day to day life. It excellent at straightening crooked, teeth with gaps or even overlapping teeth.
The treatment consists of a series of clear aligners, created with 3D computer imaging. To help create a perfect impression of your teeth we are proud owners of an iTero® Element™ Intraoral Scanner. The iTero Element Scanner is a state-of-the-art digital impression system that eliminates the need for messy putty in your mouth.
The aligners are designed so that you wear each positioner for approximately two weeks. They gently and gradually move your teeth from their present position to the desired position.
Your Invisalign journey with us
 
  INVISALIGN
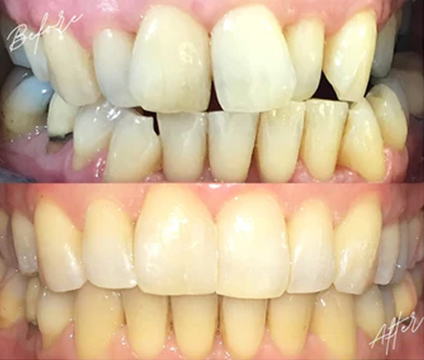
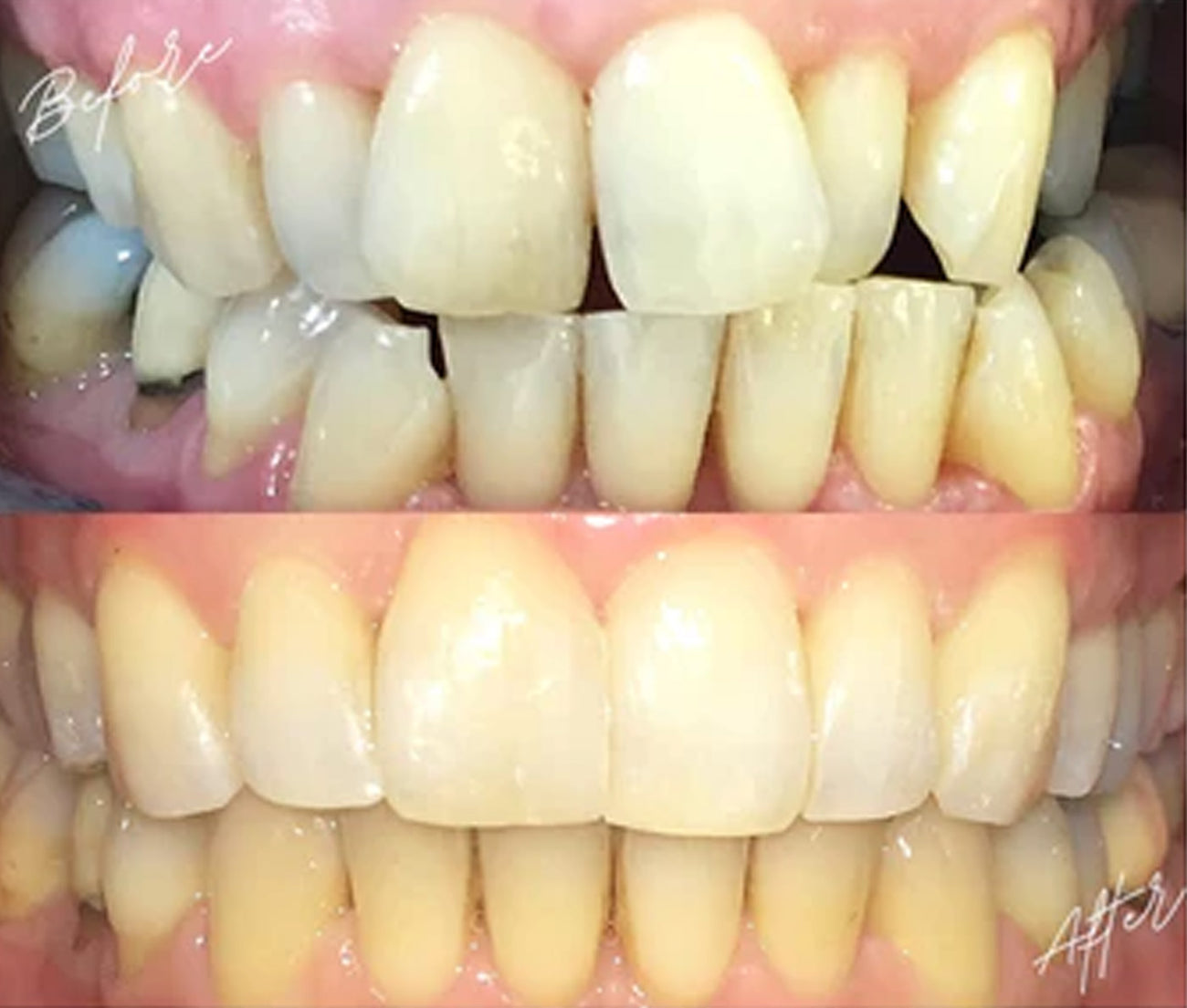
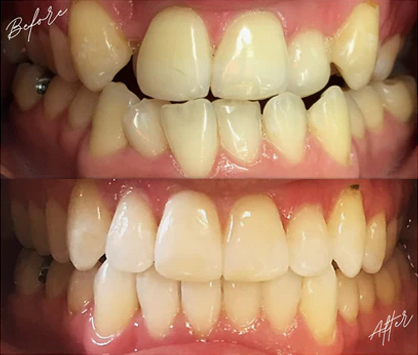
Before & Afters
Our Invisalign case studies
Treatments carried out by Dr Neha Khade
 
      
      
     
   
       
   
      